診療放射線技師は医療においてなくてはならない存在ではないかと考えています。そんな我々が医療の現場で行っている仕事をご紹介します。
今でも「レントゲン撮影」といえば誰でも思いつくことができる「X線写真」ですが、これが我々診療放射線技師の仕事の原点です。その「X線写真」を始め、今や医師の画像診断のためにいろいろな臨床画像を提供するのが診療放射線技師の主な仕事です。
1895年にドイツのヴュルツブルク大学でヴィルヘルム・コンラート・レントゲン博士がX線を発見しました。それから100年以上経った現在、X線は医療業界を初め、さまざまな場面で人々の役にたっています。その中でも、誰もが最初に思いつくのが「X線写真」ではないでしょうか。左図はレントゲン夫人の右手の写真です。おそらく現存する中では最も古いX線写真ではなでしょうか。
現代の医療で「X線写真」はなくてはならないもののひとつになっています。以下にX線撮影技術のいくつかをご紹介します。
一般撮影
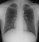
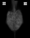
多くの方が一度は受けられたことがあると思いますが、右図が胸部正面X線写真です。この写真一枚で肺の状態から、心臓、大動脈、食道、肝臓等の異常が感知できます。X線写真としては頭部から指先足先まであらゆる部位の撮影をします。以下にご紹介します特殊撮影に対して一般撮影と呼ばれています。打撲での骨折の確認はもちろん、腹痛や肺炎等様々な病変や怪我の確認に用いられます。
乳房(マンモ)撮影
特殊なX線写真としてマンモ写真があります。乳房のX線撮影で、専用の装置を使用します。胸部のX線写真と同じように正面向きに撮影したのでは肺や肋骨、背骨が同時に写るので診断の邪魔になります。そこで乳房を上下や左右から圧迫し、引き伸ばした状態で乳房だけを撮影します。そうすると邪魔な陰影が写らずにすみます。圧迫により痛みを伴う場合がありますが、精度のよい写真を撮るために我慢していただかなければいけません。右の写真は左右の乳房を斜め内側上方から見た写真です。左が右の乳房、右が左乳房になります。右乳房に白い石灰化病変が散見(矢印)されますが、これは悪性病変の可能性があります。
骨盤計測
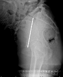
妊娠中に撮影する骨盤計測という撮影があります。妊娠中に放射線を浴びるのはいけないように思いますが、実際に使用する放射線量はごくわずかですし、この検査で帝王切開にするか自然分娩にするのか決定されますので非常に重要な撮影です。撮影されたX線写真で胎児の頭部の大きさと妊婦の骨盤の大きさを比べ、胎児の頭が大きければ帝王切開になります。大きさを計測しますので、メジャーを太ももの間に挟んで撮影することがあります。
右の写真では骨盤腔の入り口の大きさ(白線の産科真結合線)がエコー検査で調べた胎児の頭部より大きいので自然分娩可能です。
歯列撮影(回転断層パノラマ撮影)
歯科医院でフィルムを噛んで写真を撮ったことがある方も多いと思いますが、あれもX線写真の一種です。フィルムを噛む方式のほか、顔の周りに機械を回転させて撮る回転断層パノラマ撮影というのもあります。この方式だと全体の歯列が撮影できます。右のパノラマ写真では向かって右下の奥歯(親知らず)が上を向かずにその手前の歯に向かっているのがわかります。左下の親知らずは外側(手前)に向いています。どちらの親知らずも抜歯しないといけません。
透視検査(バリウム検査、ミエロ検査、関節腔造影検査、子宮卵管造影検査)
透視装置とは放射線を連続で出し続け、その画像を動画として観察できる装置です。
健康診断でバリウム検査を受けられた方も多いと思います。これはCTやMR検査では胃の状態はよくわかりませので、胃透視検査、胃カメラ検査、注腸検査、大腸カメラ等が胃や腸を対象にした検査として存在します。そのうち胃透視(バリウム)検査は私たち診療放射線技師も行っています。
医師が施行しますが、脊髄腔造影(ミエロ)検査、関節腔造影(アルトロ)検査、子宮卵管造影(HSG)検査という手技もあります。
X線CT検査
X線を用いて身体の回りを360度検出し、コンピューターで処理すると身体の断面図が得られます。これをコンピューター断層撮影、略してCT(Computed tomography)と言います。
X線写真では身体の前にあるボタンが一緒に写ったり、腸のガスでお腹のX線写真がよくわからなかったりしても、CTでは横断写真なので重なりがなくなります。例えば腹部のCT検査なら横隔膜からお尻までの範囲の横断像を撮ります。その横切りの断層像を基に立て切り像を作ったり、3次元立体像を作ったりもできるようになりました。X線写真で分かりづらかった骨折を調べたり、X線写真で異常のあった部位を精密検査したり脳内の出血や梗塞を調べたりします。
さらに造影剤という薬を使うと血管の走行が明瞭になり、血管の走行や状態、出血、炎症、腫瘍の状態(炎症や腫瘍には血流が通常より多く集まっています)が映し出され、病状が詳しくわかるようになります。

核医学(RI)検査
核医学検査では、からだの特定の臓器や病気の場所に集まりやすい物質に放射線を放出する物質(放射性同位元素)を付けて標識した薬(放射性医薬品)を静脈注射、服用または吸入によって体内に入れて、その薬が目的の臓器に集まった状態を画像化し観察します。これにより、病変を検索することや目的臓器にその薬が取り込まれて排出されていく様子を解析して病態を調べます。また、体内に入った薬からは、極微量の放射線が出ますがその効果は、時間とともに減衰し体外へ排出されていきます。また副作用も非常に少なくその安全性は確立されています。
右の図は、骨シンチグラフィと呼ばれる検査で骨の活性化のある場所に集まる薬を静脈注射してγ(ガンマ)カメラという装置を用いて画像化したものです。主に骨の炎症や骨折、骨疾患の治療で用いられる薬の効果の程度を調べることなどを目的としておこなわれています。
下の図は、脳血流シンチグラフィ(脳血流SPECT検査)と呼ばれる検査で脳内に流れ込む血液の状態や脳のはたらきをみるために用いられます。この検査では、脳を輪切りにした状態の断層画像を観察することにより、早期の脳血管障害の検出や神経症状の責任病巣の検出、または脳の機能の評価に有効といわれています。
核医学検査には、この他にも心筋シンチグラフィやPET検査など色々な種類の検査が数多くあります。また、核医学検査の特徴としましては、CT検査やMRI検査では臓器などの「形態」を主として観察しているのに対し、この検査では臓器などの「機能」を主として観察しているところです。このためCT検査やMRI検査などの検査と核医学検査と重ねて検査することにより、より詳しく病態を知ることが出来るため、総合画像診断の一画としてこの核医学検査は利用されています。

Angio(心臓カテーテル・脳アンギオ・腹部造影)検査
血管内に管(カテーテル)を挿入し、心臓や脳まで持って行き造影剤というX線を通さない液体を流すと血管の内空が映し出されます。もし血管が細くなっている(狭窄がある)ならば造影剤の通りも悪くなり、詰っている(閉塞がある)と造影剤がその部分より先に通りません。そうして心臓を栄養している血管(冠状動脈)や脳内の血管、胸腹部の血管の異常を調べるのがアンギオ検査です。
異常があれば治療を行う場合もあります。血管の中から風船(バルーン)を膨らませると細くなっている部分が広がり、血流がスムーズになります。血管の内腔に金属の格子の筒(ステント)を入れて血管を補強すると再狭窄が起こりにくくなります。

動脈の梗塞や出血がただちに身体に重要な影響を及ぼす部位は心臓と脳です。上記は心臓の検査・治療の紹介ですが、首の動脈まで管(カテーテル)を挿入し造影剤を流すと脳内の動脈の状態が観測できます。左図は首の動脈から造影剤を流したときに頭を側面と正面から観測した写真です。大脳を栄養している血管が映し出されています。狭窄(血管のつまり)や拡張が存在するならば、薬剤を注入したり、人工物をいれて補強したりします。
この他、腹部、上肢や下肢の血管の病変の検査と治療も行います。
これらの検査・治療は医師が行いますが、X線装置を使用しますので放射線技師が携わっており、機器の管理も行っております。
MR検査
核磁気共鳴(MR)検査とは、強力な磁力を使用する検査です。人体の中には水分を始め、脂肪や血液として水素原子が存在します。そこへラジオ波を当てると変化が起き、その変化を検出して画像化しています。
MRI検査では質的な変化と形態的な変化を観ることができます。例えば、腰椎椎間板や脳、肝臓や腎臓、X線写真でわかりづらい骨折などを調べられます。また脳内や頚部、身体の血液の流れも調べられ、血管の狭窄や瘤(膨張)の存在を造影剤を使用せずに(CT検査では血管の状態は造影剤を用いないとわかりません)調べられます。
放射線を使用していませんので、この後に紹介しますエコー検査と同様に人体には無害な検査のひとつです。

超音波(エコー)検査
音は人体の中も通過します。その音の反射を画像化したものがエコー検査です。音(音波)を使用していますので、MR検査と同様に人体には無害です。妊婦のお腹にエコーを当てて胎児の発育状態や健康具合、性別を調べるのは皆様ご存知かと思います。
脳以外の血管の状態や内臓、リンパ、心臓などを対象に検査します。
診療放射線技師は主に検査を行う免許ですが、中には治療行為もできます。それが「放射線治療」です。
みなさんご存知の通り、放射線は身体に悪影響があります。しかしそれは過度の放射線であり、ある一定以下の量だと影響はないとされています。我々放射線技師が医療で使う放射線はできるだけ少量ですむように考慮しながら使用しています。
悪影響があるというのは腫瘍にとっても同じことです。つまり腫瘍に対して過度に、正常組織にはできるだけ少なくなるように放射線を照射すると、体内にある腫瘍でも身体を切らずに治すことができるわけです。
最初に専門の医師が使用する放射線の種類と量を決め、それを診療放射線技師が決められた方法と日程で照射します。
最近の画像診断部門で作成された画像は施設内サーバーに蓄積されていき、それを診察室で医師が画像モニター上で見て診断をします。最近の医療機器の進歩はめざましく、日々膨大な量の画像がサーバーに蓄積されていきます。大きな大学病院になるとサーバー室だけで30畳ほどの広さがあり、そこにサーバーユニットが10台以上、冷房装置が5台ほど置かれているのも現代では珍しくありません。
その画像管理をするのも、昔から画像を扱っている診療放射線技師の仕事です。
医療分野の機器は日進月歩で進化しています。さらに新たな機器もどんどんと開発され、昔には存在していなかった装置が数多く導入されています。そのような機器の信頼性を保つには保守整備が必要です。日本放射線技師会では認定試験を実施し、合格したものに放射線機器管理士という認定を与えています。
現代ではレントゲン博士が撮った手の写真で使用した100分の1以下の量で撮影しています。さらに普通の写真の主流が35mmフィルムからデジタルカメラになったように、X線写真でもデジタル化されるようになりつつあります。そしてフィルムとして現像していたのを、現在では画像モニターでデジタルX線写真を観る施設も増えてきています。
画像モニターで簡単にX線写真を観られるようになっても、その写真の質は撮影した者によって決まります。どの程度のX線量を使用するのか。撮影する部位をどのような角度に位置づけするのか。同じ場所にあっても「肺」と「肋骨」では撮影条件が違い、それによって見え方も変わってくるのです。これはX線写真がデジタルになっても同じです。それは撮影者である「診療放射線技師」の腕にかかっているわけです。私たち「診療放射線技師」は国から認められた学校で3年以上の修習に励み、国家試験である「診療放射線技師国家試験」に合格した者だけに与えられる資格です。
〒604-8472
京都府京都市中京区西ノ京北壷井町
88-1 二条プラザ1F
TEL 075-802-0082